Kidney health often goes unnoticed until something starts to feel wrong. For individuals affected by FSGS, understanding the condition can make a powerful difference in how it’s managed. At Neph Cure, we are dedicated to transforming complex medical knowledge into clear, approachable information that empowers patients, families, and caregivers.

In this article, we’ll explore focal segmental glomerulosclerosis signs and symptoms, discuss common fsgs symptoms, and provide an overview of current fsgs kidney disease treatment options. Our goal is to help you feel informed, supported, and confident as you navigate this journey.

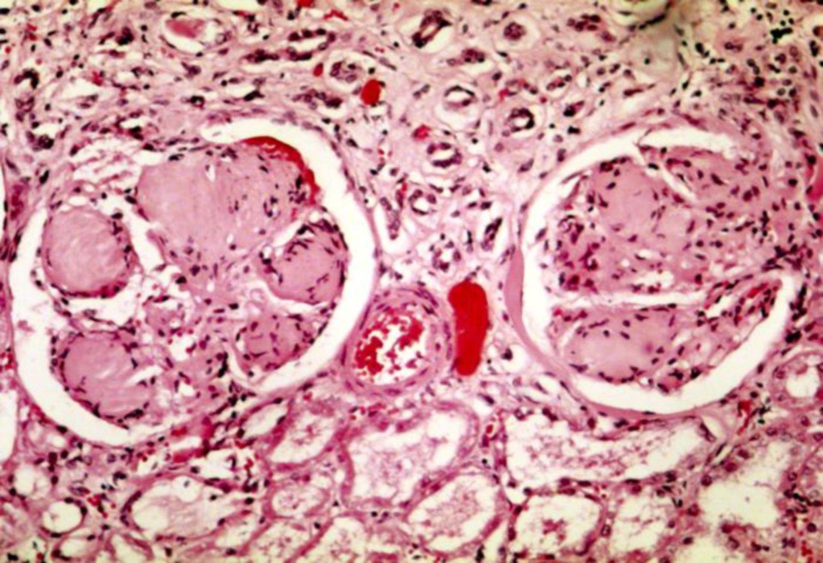
What Is Focal Segmental Glomerulosclerosis (FSGS)?

Focal Segmental Glomerulosclerosis commonly referred to as FSGS- is a kidney disorder that causes scarring (sclerosis) in the glomeruli, the tiny filters that remove waste from the blood. Over time, this scarring interferes with normal kidney function and can lead to significant complications.

At Neph Cure, we focus on raising awareness, supporting research, and advocating for better outcomes for everyone impacted by FSGS.

Understanding Focal Segmental Glomerulosclerosis Signs and Symptoms

One of the biggest challenges with FSGS is that symptoms may develop slowly or resemble other health issues. Recognizing focal segmental glomerulosclerosis signs and symptoms early can help prompt timely medical care.

Common Focal Segmental Glomerulosclerosis Signs and Symptoms

People living with FSGS may experience:

Persistent swelling in the legs, ankles, feet, face, or abdomen

Foamy or frothy urine caused by protein loss

Fatigue and decreased energy

Sudden weight gain related to fluid retention

Reduced urine output

Recognizing Early FSGS Symptoms

In some cases, fsgs symptoms may start subtly and worsen over time. Paying attention to small changes in your body can be crucial.

Early and Progressive FSGS Symptoms

Mild swelling that gradually increases

Changes in urine appearance or frequency

Difficulty concentrating due to fatigue

Increased susceptibility to infections

At Neph Cure, we encourage individuals not to ignore early fsgs symptoms, as early intervention can help slow disease progression.

Why Early Detection Is So Important

FSGS can progress at different rates depending on the individual and the underlying cause. When left untreated, it may lead to chronic kidney disease or kidney failure. Early recognition of focal segmental glomerulosclerosis signs and symptoms allows healthcare providers to begin targeted care sooner.

Causes and Risk Factors Behind FSGS

While this article focuses on symptoms and treatment, understanding risk factors adds valuable context.

FSGS may be:

Primary (idiopathic) – with no clear underlying cause

Secondary – related to other conditions such as obesity, infections, or reduced kidney mass

Genetic – linked to inherited mutations

At Neph Cure, we support research that continues to uncover why FSGS develops and how it can be better treated.

Overview of FSGS Kidney Disease Treatment

There is no one-size-fits-all approach. Care plans are tailored based on disease severity, underlying cause, and how the individual responds to therapy.

Common FSGS Kidney Disease Treatment Approaches

Treatment strategies may include:

Immunosuppressive medications

Help reduce immune-related kidney damage

Corticosteroids

Often used as a first-line therapy

Blood pressure medications

ACE inhibitors or ARBs to reduce protein loss

Cholesterol management

Addresses increased cardiovascular risk

Lifestyle and dietary adjustments

Support overall kidney health

At Neph Cure, we emphasize that fsgs kidney disease treatment is most effective when combined with ongoing monitoring and patient education.

Managing Symptoms Alongside Treatment

While medical therapy addresses the disease process, symptom management plays an equally important role.

Supporting Quality of Life

Patients may benefit from:

Managing fluid and salt intake

Monitoring weight and swelling daily

Staying consistent with medications

Communicating openly with healthcare providers

Addressing fsgs symptoms holistically helps patients maintain daily routines and emotional well-being.

Emotional and Mental Health Support

Living with a chronic kidney condition can be emotionally challenging. Anxiety, frustration, and uncertainty are common, especially after noticing persistent or receiving a diagnosis.

At Neph Cure, we believe emotional health is just as important as physical care. Patient communities, counseling resources, and advocacy groups can provide connection and reassurance.

Research, Advocacy, and Hope for the Future

Progress in understanding focal segmental glomerulosclerosis signs and symptoms and improving fsgs kidney disease treatment depends on sustained research and advocacy.

Neph Cure is committed to:

Funding innovative kidney disease research

Supporting patient education initiatives

Advocating for improved access to care

Giving a voice to those affected by FSGS

Every breakthrough begins with awareness and every informed patient strengthens the future of kidney care.

Final Thoughts

FSGS can feel overwhelming, but knowledge brings clarity and confidence. By recognizing focal segmental glomerulosclerosis signs and symptoms, understanding common fsgs symptoms, and exploring available fsgs kidney disease treatment options, patients and families can take an active role in their health journey.

Share on social media

Our Categories

Medical: Doctors & Specialists , Endocrinologist , Neurologist , Pediatrician , Dermatologist , Gastroenterologist , Orthopedic , Cardiologist , Gynecologist , Physicians , Nephrologist Hospitals & Clinics , Eye Hospital / Clinics , Orthopedic , Heart , Cardiology , Brain & Spine Centre , Multispecialty Hospital , Hospitals / Dental Clinics , Dermatologist , Ayurvedic Hospital , ENT Pathlabs , Veterinary , Laparoscopic Surgeon , Urologist , Neurosurgeon , Hospitals / Dental Clinics , Dermatologist , Eye specialist

Real Estate: Shoping Mall , Builders and Developers , Upcoming Projects , Photographer , Construction Company , Property Types , Residential Property , Commercial Property , Plots / Land , Villas Real Estate Services , Real Estate Agents / Dealers , Property Brokers , Real Estate Consultants , Real Estate Developers / Builders Property Rent , Flats / Apartments for Rent , Shops / Showrooms for Rent / Lease , Studio Apartments Rent , Office Space for Rent Construction & Development Interior Designers , Construction Companies / Contractors , Civil Engineers , Architects

Education: Schools , Boarding , CBSE , ICSE , Up Board , International , Play School , Driving School Colleges/Institute/ Classes , Engineering & Technology , Medical Collage , Arts, Science & Commerce , Management & Business Colleges , Law Colleges , Education & Teaching Colleges , Design, Fashion & Fine Arts Colleges , Media & Communication Colleges , Agriculture Science Colleges , Veterinary Science Colleges Classes, Courses & Coaching , Academic Coaching , IT & Computer Courses , Creative & Design Courses , Language & Communication University , Nadi Astrologer , Vedic Astrologer , Kp Astrologer , Lal Kitab Astrologer , Numerologist Astrologer , Palm Reader

Accommodation: Hostels / PG , Boys , Girls Resorts , Motels , Guest House , Paying Guest , Home Stay , Dharamshala , Farmhouse , Oyo Rooms , Hotels 7 Star , 3 Star , 5 Star , 4 Star , Budget Hotels

Tour and Travels: Domestic Tour Packages , International Tour Packages , Honeymoon Tours , Family Holiday Packages , Flight / Train / Bus Booking , Flight Ticket Booking , Bus Booking , Train Ticket Booking Car / Bike , Scooty Rentals , Bike Rentals , Car Rentals , Scooty Rentals , Taxi Service Adventure Tours , Pilgrimage Tours

Restaurants / Bar / Cafe: Bakery / Cake , South Indian Restaurants , North Indian Restaurants , Punjabi Restaurants , Gujarati Restaurants , Rajasthani Restaurants , Bengali Restaurants , Mughlai Restaurants , Chinese Restaurants , Thai Restaurant

Packers and Movers: Local Packers and Movers , Domestic Packers , International Packers And Movers

Stock & Trading: Stock Market Trading , Commodity Trading , Forex Trading , Crypto Trading , Binary Options Trading , Trading Education & Training Stock Market Training , Forex Trading Courses , Crypto Trading Tutorials

Beauty & Saloon: Beauty Parlours / Salons , Men's salon / Parlour , Ladies Parlour / Salon Spa & Wellness Centers , Hair Transplant , Hair Salons / Hair Studios , Men Hair Salon , Ladies Hair Salon Unisex Salon , Nail Salons , Makeup Artists , Tattoo Studios , Beauty Academies / Training Institutes , Makeup Academy , Hairstyles Academy , Nail Art Mehandi Artist

Automotive: Car Wash , Vehicle Services & Repair , Scooter & Bike Repair Services , Car Repair & Services , Car AC Repair & Services , Cycle Repair & Service , Auto Electrician , Car Painting , Wheel Alignment Automotive Sales Used Car Dealers , Car Showroom, Dealerships , EV Car Showroom / Dealerships , Two Wheeler Showroom , 2 Wheeler Ev Showroom

More..